Language
하예스킨 Clinical Dermatology
Clinical Skin Care
피부질환 치료
보이는 증상뿐 아니라 근본적인 원인까지 함께 바라봅니다
Clinical Skin Care
하예의 Body Solution
일상 속 불편함을 만드는 피부 고민들
하예는 누구보다 당신의 피부 질환에 공감하며 결코 작게 보지 않습니다.
The Secret Behind HA:YE
  • 진료 항목
  • 서울대 출신 전문 의료진의 정밀한 진단과 시술, 상담까지 전 과정 직접 진행합니다
    • 점 / 검버섯
    • 점 / 검버섯
    • 색소침착 혹은 노화로 인한 피부 변화, 레이저로 간단하게 제거 가능합니다
    • 사마귀
    • 사마귀
    • 인유두종 바이러스로 생기는 피부 병변, 냉동치료 또는 레이저 치료 시행.
    • 쥐젖
    • 쥐젖
    • 피부 마찰 부위에 주로 발생, 레이저로 제거.
    • 비립종 / 한관종
    • 비립종 / 한관종
    • 눈가에 자주 생기는 좁쌀처럼 올라온 병변, 레이저 치료.
    • 켈로이드
    • 켈로이드
    • 상처 부위가 과하게 올라온 상태, 주사 치료나 레이저 병행.
    • 티눈
    • 티눈
    • 반복적인 마찰로 각질이 깊게 박힌 경우, 제거 및 재발 방지 치료.
    • 대상포진
    • 대상포진
    • 바이러스 감염으로 인한 신경통 동반 수포, 빠른 항바이러스 치료.
    • 손발톱무좀
    • 손발톱무좀
    • 진균 감염으로 발생하는 만성 질환, 내복약 처방.
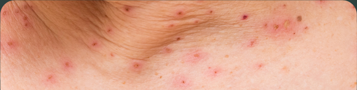
    • 습진
    • 습진
    • 피부 장벽 손상으로 인한 염증 반응, 원인에 따라 보습 및 항염 치료.
    • 두드러기
    • 두드러기
    • 알레르기 반응 또는 자극에 의한 팽진, 항히스타민제 등으로 조절.
    • 모낭염
    • 모낭염
    • 모공 속 염증 반응, 약물 및 관리
    • 뾰루지
    • 뾰루지
    • 피지선 염증에 의한 좁쌀 및 농포, 피부 타입에 맞춘 맞춤 치료 시행.
    • 화상
    • 화상
    • 열 또는 자극에 의한 피부 손상, 초기 처치 및 흉터 예방
    Review 하예스킨 구글하예스킨 네이버
    • ★★★★★
    • 환경도 좋고, 서비스 직원분들도 친절하고 전문적이고, 프로젝트도 다양하고, 의사분들도 매우 전문적이에요👍🏻
    • ★★★★★
    • 여기서 스킨케어를 받았는데, 전혀 아프지 않고 정말 좋은 경험이었어요. 강력 추천합니다!
    • ★★★★★
    • 이순 님이 소개해 주신 병원입니다. 저는 이 병원에 가서 HIFU와 Volnewmer 시술을 모두 받았습니다. 직원분들도 매우 친절하고 감동적입니다. 백 원장님은 전문가이시고, 시술 내내 제 기분을 항상 잘 챙겨주십니다. 시술 과정도 매우 좋았습니다. 꼭 다시 방문할 겁니다.
    • ★★★★★
    • 의사 선생님과 직원분들이 정말 친절하셨어요. 중국어를 구사하는 직원분이 계셔서 소통에 전혀 문제가 없었어요. 🥺 다음에 또 방문하고 싶어요.
    • ★★★★★
    • 여기 보조원들과 의사 선생님들은 정말 친절하고 따뜻하게 맞아주셨어요. 레이저 시술을 포함한 몇 가지 시술을 받았는데 결과에 매우 만족해요. 모든 과정이 편안했고, 시술 전에 모든 내용을 제대로 이해했는지 확인해 주셨어요. 의료진의 세심함과 전문성에 감사드리며, 꼭 다시 방문하고 싶어요.
    • ★★★★★
    • 한남 지역에 자리한 'HAYE skin clinic'에서 온다리프팅을 체험해 왔습니다. 구온다리프팅이란 피부의 심층부에 있는 진피층이나 지방층에 확실히 열을 전달함으로써 콜라겐의 생성을 촉진하고, 여분의 지방의 감소를 서포트해 주는 최신 리프팅 시술. 게다가 이 클리닉은 카운셀링이 어쨌든 정중. 이번은 볼뉴마를 추가해, 보다 입체감이 있는 작은 얼굴을 목표로 해 보는 것에.기분 뜨거울까? 마무리에는, 시금치 선에 히알루론산을 플러스.주입 후 곧은 살짝 붓기감이 있었습니다만, 밤에는 완전히 침착해, 다음날 아침에는 페이스 라인이 분명하게 깔끔하게. 부티크와 같은 세련된 원내는, 다리를 밟는 것만으로 미의식 스위치가 들어가는 것 같은 기분에. 시술 뿐만이 아니라, 공간마다 자신을 정돈할 수 있는 특별한 시간이었습니다. 리프트 업도, 작은 얼굴도!
    • ★★★★★
    • 저는 메디컬 뷰티를 하러 한국에 왔어요🫶🫶 눈밑 리주란 + 얼굴 전체 리주란(기계주사) + 주브룩 + 종아리 보톡스 시술을 받았어요. 눈밑 리주란 수동주사는 조금 아팠지만 참을 만했어요. 얼굴 전체 리주란 기계주사는 바늘로 찔리는 느낌만 들었어요. 아마 제가 통증을 잘 참는 편이고 그때 배가 너무 고파서 통증이 전달된 것 같아요.🤣 원장님께서 너무 친절하셔서 천천히 "괜찮으세요? 아프세요?"라고 물어보셨어요. 미용사, 원장, 간호사, 원장님 모두 정말 빠르게 시술해 주셨어요. 2시간 만에 끝났어요✅ 전반적으로 편안하고 빠르게 시술을 받았고, 다음에도 또 방문할 거예요.
    • ★★★★★
    • 정말 좋은 피부과입니다. 친구 추천으로 갔는데 나쁘지 않은 경험이었습니다. 직원분들 모두 친절했습니다. 입원 시 여권 등록 정보를 제출하시면 정산 후 세금 환급 신청서와 함께 바로 돌려받으실 수 있습니다. 진 원장님과의 상담에서 저에게 맞는 물광 니들과 전파를 추천해 주셨습니다. 가격 상담 시 중국어가 가능한 직원이 동행해 주셨습니다. 미모의 원장님이 손질과 마취도 도와주셨습니다. 물광 니들과 전파 시술 후 피부가 훨씬 밝아진 것을 느꼈습니다. 별 다섯 개를 강요하는 건 아니지만, 제 경험에 따라 적어봅니다. 아름다워지고 싶은 친구들에게도 꼭 추천하고 싶습니다. 전반적인 경험이 매우 좋았습니다👍
    그냥, 예뻐 보여요. 이유 없이
    Uncover the
    Hidden Garden of
    Beauty in Seoul
    QUICK
    닫기